Publication
Research Article
International Journal of MS Care
Author(s):
Multiple sclerosis (MS) is a chronic neurodegenerative disease that affects the central nervous system. Familial MS is arbitrarily defined as a type of MS that runs in families with 1 or more first- to third-degree relatives in addition to the index case affected by MS. The aim of this article is to report a unique case of familial MS from Saudi Arabia with 2 novel variants in the HLA-DRB1 gene that may contribute to the pathogenesis. We observed an unfavorable response to interferon therapy and successful treatment using fingolimod therapy. This observation needs further study, including whether this lack of response is specific to interferon treatment or possibly a chance occurrence. This family work-up illustrates the importance of genetic testing in identifying variants associated with familial MS, especially if more than 2 members of the same family are affected. Although this genetic tool is used mainly for research purposes, it had clinical implications for our patient, including the appropriate selection of disease-modifying therapy and prognostic counseling. Further large-scale studies are needed to expand the genetic spectrum of familial MS with clinical and pharmacologic correlation.
Multiple sclerosis (MS) is a chronic neurodegenerative disease that affects the central nervous system. It is a progressive disorder that may result in disability and impaired quality of life.1 The global prevalence of MS is 33 in 100,000 population. Using the Saudi Arabian National MS Registry, the prevalence of MS in Saudi Arabia was estimated to be 40.4 in 100,000 population.2 Familial MS is arbitrarily defined as a type of MS that runs in families with 1 or more first- to third-degree relatives in addition to the index case affected by MS. In the MS population, the prevalence of familial MS worldwide was calculated to be 12.6%.3 Among identical twins, the chances of MS are approximately 200 to 300 times greater than in the general population if 1 is affected.3–5
MS is a complex disorder with a multifactorial etiology, including genetic, immunity-related, and environmental factors. With advancements in the field of molecular genetics, common genetic variants related to the immune system have been described in certain individuals. Therefore, the contribution of autoimmunity and the autoimmune nature of the disease disturbing the regulatory rather than the coding regions have been implicated.6 Among the major genetic factors now widely recognized as risks for developing MS are certain allelic variations of the human leukocyte antigen (HLA) class II on chromosome 6p21. The DRB1 of HLA class II is now verified as the strongest independent factor for MS in various populations.7
Familial MS was the topic of study and research material by several neurologists in Saudi Arabia, with few papers available in the literature. Only a single study has been published in Saudi Arabia investigating the association of different HLAs with MS. The study depicted that several HLA-DRB1 and HLADQB1 alleles were associated with the disease.8 The aim of this article is to report 2 previously unreported novel variants in the HLA-DRB1 gene from a Saudi patient with familial MS. The patient had interesting clinical observations, including early onset of the disease, resistance to interferon therapy, and successful response to treatment with fingolimod.
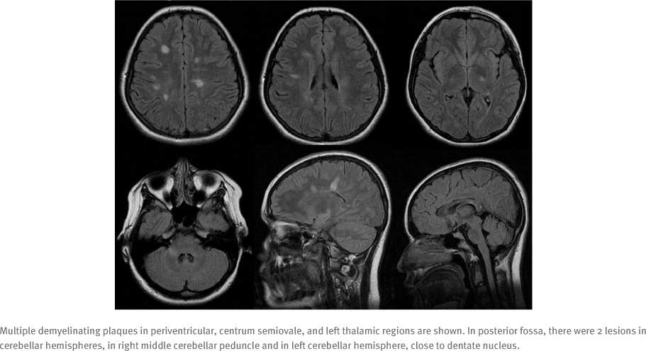
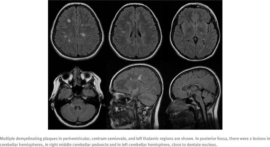
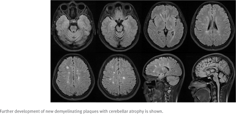
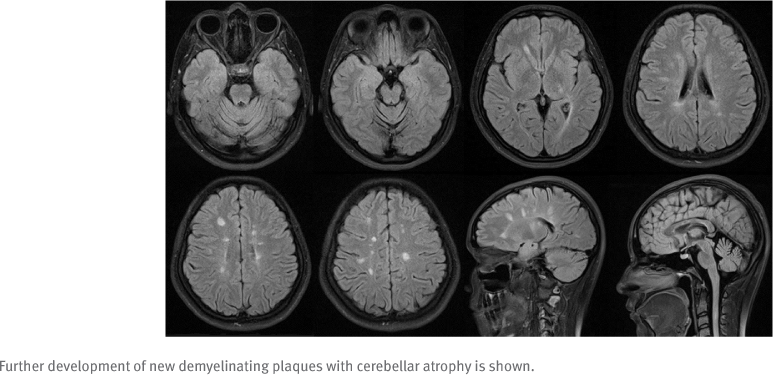
The proband is a 25-year-old woman who received a diagnosis of relapsing-remitting MS at age 13. The diagnosis was based on dissemination in time and space and fulfillment of the McDonald criteria for the diagnosis of pediatric MS. She had multiple attacks involving the sensory, motor, cerebellar, and spinal cord regions. Magnetic resonance imaging (MRI) of the brain and spinal cord demonstrated multiple classical periventricular white matter demyelinating plaques with Dawson fingers and spinal cord involvement (FIGURE 1). She was started on weekly interferon beta (IFNβ)-1a at a dose of 30 μg per intramuscular injection. Unfortunately, her disease progressed both clinically and radiologically for 7 years, despite her adherence with interferon therapy (FIGURE 2). She had 1 to 4 relapses per year, which necessitated treatment escalation for which she was switched to fingolimod 0.5 mg once daily, with good control of her disease during the past 2 years. She has a positive family history of MS in her sister, who is 31 years old and was diagnosed at age 28, as well as her brother, who is 21 years old and was diagnosed at age 17 (FIGURE S1, which is published in the online version of this article at ijmsc.org). Her sister and brother used interferon therapy for 1 and 2 years, respectively, with multiple relapses and deterioration of Expanded Disability Status Scale scores and gait. They were shifted to fingolimod 0.5 mg once daily, with excellent response and improvement in Expanded Disability Status Scale scores. Their brain MRIs showed classical multiple periventricular demyelinating lesions, and they did not have cerebellar atrophy. The parents were not consanguineous, and none of the siblings had genetic diseases that run in the family, including cystic fibrosis, glucose-6-phosphate dehydrogenase deficiency, familial Mediterranean fever, or any other genetic diseases.
Magnetic Resonance Image of the Brain, Fluid-Attenuated Inversion Recovery Sequencing, at Age 14

Magnetic Resonance Image of the Brain, Fluid-Attenuated Inversion Recovery Sequencing, at Age 24

Whole-genome sequencing using next-generation sequencing was performed and identified 2 heterozygous novel variants in the HLA-DRB1 gene (RefSeq NM_002124.3). The first was a stop variant in exon 2 c.115C>T; (p.Gln39Ter). This variant is predicted to cause loss of normal protein function through protein truncation. The second was a missense variant in exon 5 c.785C>G; (p.Thr262Arg). There is a moderate physicochemical difference between threonine and arginine. Both variants are novel (not in any individuals) in the 1000 Genomes Project. Mutations in this gene are known to cause susceptibility to MS-1 (OMIM #126200). These variants are likely pathogenic, because the detailed clinical information in the patient and family histories also supports this report.
MS is an autoimmune disorder with an environmental predisposition that occurs in patients who are genetically susceptible. Susceptibility to MS has been linked to changes in certain HLA genes located on chromosome 6p21: HLA-A, HLA-DRB1, and HLA-DQB1. The HLA gene is responsible for encoding polymorphic glycoproteins. These cell-surface glycoproteins are crucial in immune regulation because of their role in recognizing either intracellular nonself (class I) or extracellular (class II) proteins. Specifically, the HLA class II gene has a stronger role in the genetic contribution of developing MS. The HLA class II gene encodes molecules that participate in antigen recognition and presentation to T cells.9
In Saudi Arabia, the mean age at onset of MS is 27.8 years.2 However, there are no data regarding age at onset in familial cases. The present 3 siblings were diagnosed at young ages, which could be the true ages of onset, or the onsets could be even years before the clinical presentations or diagnoses. Patients with familial MS, specifically affected second- and third-degree family members, have a significantly shorter time from disease onset to MS diagnosis compared with patients with sporadic MS. This short duration was not found in published articles describing both first affected family members and sporadic cases.10 In the family described herein, this short duration was clearly demonstrated. Generally, relapsing-remitting MS is the most prevalent type of MS. In patients with familial MS, this form of the disease has the same prevalence as secondary progressive MS.11 This was not the case in the present report, because all 3 individuals had the relapsing-remitting form of the disease.
Although the cause of MS is still unknown, neurologic symptoms are thought to be immune-mediated tissue damage directed against myelin antigens. This will result in demyelination with the loss of axons and cell bodies that lead to progressive neurologic symptoms. Patients with MS typically experience symptoms such as focal weakness, monocular blindness, diplopia, sensory and coordination dysfunction, and muscle fatigue.12 In a study by Andrijauskis et al,11 pyramidal and brainstem lesion symptoms were more predominant early in the disease course in patients with MS with a first-degree family member than in the control group with no family history. In addition, cognitive dysfunction, headaches, and back pain were more common in familial MS. Furthermore, patients with familial MS present with more exacerbations annually, especially in the first year of disease activity, with a subsequent decline in the number of these attacks in the following years. Lesions in the brainstem and cerebellum are more commonly observed on MRIs of patients with familial MS. For all the previously mentioned reasons, and because of changes that occur in the hypothalamic-pituitary–adrenal axis, the degree of disability was higher in patients with familial MS.11 In the present patient, striking cerebellar atrophy was obvious on neuroimaging, which is a subject of research that needs explanation. The present patient was scanned using the same MRI machine and identical protocols at all visits. The MRI was performed regularly every 6 to 12 months during patient follow-up. Unfortunately, the quantification of cerebellar atrophy is not routinely performed in the neuroradiology department at our institution.
IFNβ has been used as a treatment for MS since the mid-1990s to decrease exacerbations and reduce disease burden. Although the exact mechanism of action of this drug is unknown, several immunomodulatory effects lead to its success in treating the disease.13 Patients with familial MS are less responsive to IFNβ.14 In fact, the present patient’s symptoms worsened while taking this medication. Although the efficacy in reducing relapses in MS is only 30%, the failure of this medication in all 3 siblings may indicate a lack of response to this therapy. In addition, high-resolution HLA typing identified 2 HLA class II alleles, which predisposed the patient to develop antibodies targeting IFNβ during treatment. Hoffmann et al14 defined the genetic factors that determined the immunogenicity of protein-based IFNβ, explaining the resistance to therapy. Further studies evaluating and comparing the percentage of patients with familial and sporadic MS with high neutralizing antibodies should be conducted. A limitation of this observation in the present patient is the lack of testing neutralizing antibodies.
Fingolimod is an oral medication used as first-line treatment for relapsing-remitting MS in the United States, whereas it is reserved for highly active cases in the European Union.15 Fingolimod decreases the annualized relapse rate by 65% to 70%, decreases disability progression, and decreases accumulation of T2 lesions on MRI, in addition to reducing new or enlarging T2-weighted lesions.16 The mechanism of action of fingolimod is sphingosine 1-phosphate receptor agonist (functional antagonist), which results in altering lymphocyte migration, thereby sequestering them in the lymph node and decreasing their number in the periphery.17 The favorable response to fingolimod is due to the modulation of NR4A2 expression, which is not observed in other disease-modifying therapies, including IFNβ. Fingolimod positively modulates this gene expression level in peripheral blood, which contributes to the final clinical response to this treatment.18 We believe this could be one factor, and further research should be conducted to explore other possible mechanisms. To our knowledge, the present cases are the first familial MS cases reported to be treated successfully with fingolimod.
Genetic testing, including whole-genome sequencing, is a useful tool in investigating patients presenting with familial MS. However, the results of these studies are not easily translated into daily clinical practice, because MS is a disease in which several common variants contribute to the genetic risk of developing this disease. Therefore, this tool of genetic testing is currently applied only for research purposes, with a possible promising role in the future.
In conclusion, we report a unique case of familial MS from Saudi Arabia with novel variants in the HLA-DRB1 gene that may contribute to the pathogenesis. We observed an unfavorable response to interferon therapy and successful treatment with fingolimod. This observation needs further study, including whether this lack of response is specific to interferon treatment or possibly a chance occurrence. The present family work-up illustrates the importance of genetic testing in identifying variants associated with familial MS, especially if more than 2 members of the same family are affected. Although this genetic tool is used mainly for research purposes, it had clinical implications for our patient, including the appropriate selection of disease-modifying therapy and prognostic counseling. Further large-scale studies are needed to expand the genetic spectrum of familial MS with clinical and pharmacologic correlation.
Patsopoulos NA. Genetics of multiple sclerosis: an overview and new directions. Cold Spring Harb Perspect Med. 2018; 8(7): a028951. doi: 10.1101/cshperspect.a028951
AlJumah M, Bunyan R, Al Otaibi H, . Rising prevalence of multiple sclerosis in Saudi Arabia, a descriptive study. BMC Neurol. 2020; 20(1): 49. doi: 10.1186/s12883-020-1629-3
Harirchian MH, Fatehi F, Sarraf P, Honarvar NM, Bitarafan S. Worldwide prevalence of familial multiple sclerosis: a systematic review and meta-analysis. Mult Scler Relat Disord. 2018; 20: 43–47. doi: 10.1016/j.msard.2017.12.015
O’Gorman C, Lin R, Stankovich J, Broadley SA. Modelling genetic susceptibility to multiple sclerosis with family data. Neuroepidemiology. 2013; 40(1): 1–12. doi: 10.1159/000341902
Al Jumah M, Kojan S, Al Khathaami A, Al Abdulkaream I, Al Blawi M, Jawhary A. Familial multiple sclerosis: does consanguinity have a role? Mult Scler . 2011; 17(4): 487–489. doi: 10.1177/1352458510390406
Sawcer S, Franklin RJ, Ban M. Multiple sclerosis genetics. Lancet Neurol. 2014; 13(7): 700–709. doi: 10.1016/S1474-4422(14)70041-9
Katsavos S, Artemiadis A, Gontika M, . HLA-DRB1 differences in allelic distribution between familial and sporadic multiple sclerosis in a Hellenic cohort. Postgrad Med. 2019; 131(7): 490–495. doi: 10.1080/00325481.2019.1655382
Al Jumah M, Kojan S, Al Shehri AM, . HLA class II polymorphism in Saudi patients with multiple sclerosis. HLA. 2018; 91(1): 17–22. doi: 10.1111/tan.13173
Michalik J, Čierny D, Kantorová E, . The association of HLA-DRB1 and HLA-DQB1 alleles with genetic susceptibility to multiple sclerosis in the Slovak population. Neurol Res. 2015; 37(12): 1060–1067. doi: 10.1080/01616412.2015.1115212
Steenhof M, Stenager E, Nielsen NM, Kyvik K, Möller S, Hertz JM. Familial multiple sclerosis patients have a shorter delay in diagnosis than sporadic cases. Mult Scler Relat Disord. 2019; 32: 97–102. doi: 10.1016/j.msard.2019.04.012
Andrijauskis D, Balnyte R, Keturkaite I, Vaitkus A. Clinical and diagnostic features of patients with familial multiple sclerosis. Med Hypotheses. 2019; 131: 109310. doi: 10.1016/j.mehy.2019.109310
Compston A, Coles A. Multiple sclerosis. Lancet. 2008; 372(9648): 1502–1517. doi: 10.1016/S0140-6736(08)61620-7
Kieseier BC. The mechanism of action of interferon-β in relapsing multiple sclerosis. CNS Drugs. 2011; 25(6): 491–502. doi: 10.2165/11591110-000000000-00000
Hoffmann S, Cepok S, Grummel V, . HLA-DRB1*0401 and HLA-DRB1*0408 are strongly associated with the development of antibodies against interferon-beta therapy in multiple sclerosis. Am J Hum Genet. 2008; 83(2): 219–227. doi: 10.1016/j.ajhg.2008.07.006
Khatri BO. Fingolimod in the treatment of relapsing-remitting multiple sclerosis: long-term experience and an update on the clinical evidence. Ther Adv Neurol Disord. 2016; 9(2): 130–147. doi: 10.1177/1756285616628766
Algahtani H, Shirah B, Al Malik Y, Meftah I. Fingolimod for relapsing-remitting multiple sclerosis: the experience from Saudi Arabia. Clin Neuropharmacol. 2020; 43(2): 35–38. doi: 10.1097/WNF.0000000000000378
Hla T, Brinkmann V. Sphingosine 1-phosphate (S1P): physiology and the effects of S1P receptor modulation. Neurology. 2011; 76(8 suppl 3): S3–S8. doi: 10.1212/WNL.0b013e31820d5ec1
Montarolo F, Perga S, Martire S, . Study of the NR4A family gene expression in patients with multiple sclerosis treated with fingolimod. Eur J Neurol. 2019; 26(4): 667–672. doi: 10.1111/ene.13875
FINANCIAL DISCLOSURES: The authors declare no conflicts of interest.
FUNDING/SUPPORT: None.